| Spa Treatments | Skin Masks | Dry Treatment |Hot Mask | Organic Balm |
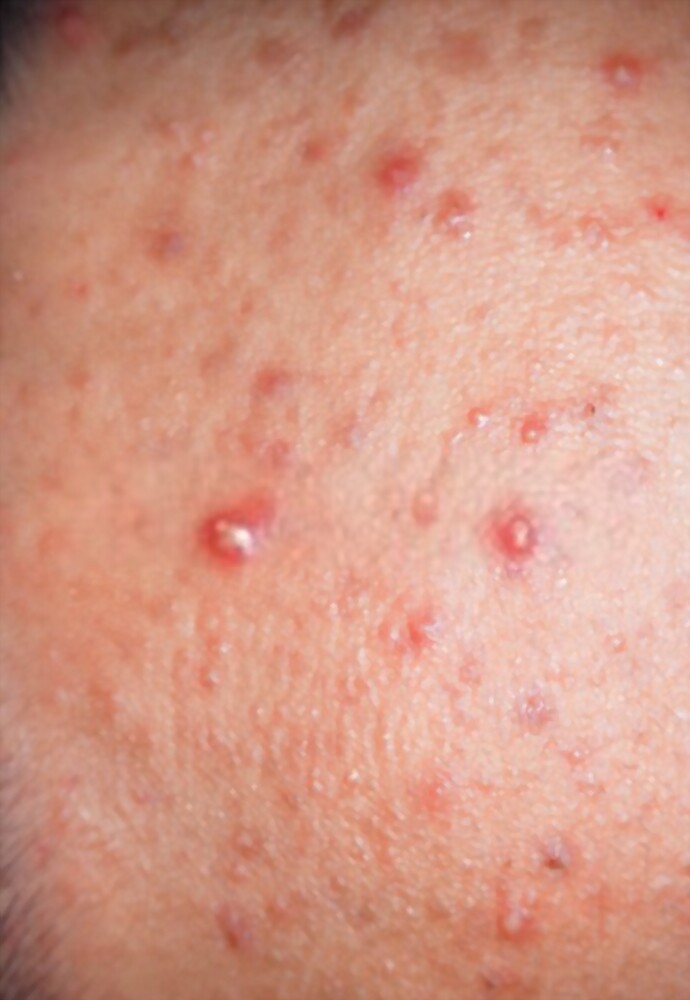
Do you want to know what is best treatment for pimples? ? If you think that there’s a perfect treatment for pimples then I say, no way. There’s no one good single treatment, so it’s just a matter of preference, whether you’re looking to treat your skin or to buy a product that promises to fix the problem.
What is best treatment for pimples?
1. Spa Treatments for facial and body pimples
These treatments are incredible when compared to expensive injections or other products. Using laser treatments is an easy alternative to injecting your skin. It may sound pricey but with injections or epidermal fillers these injections can be a pretty expensive affair. They’re almost always onerous and don’t fit into our busy lifestyles. So I’d recommend using a laser, which is relatively inexpensive.
Using your skin in that way is similar to getting pimples. The problem is the faster they heal, the quicker they go away. It doesn’t necessarily mean you’ll have fewer skin problems with on going over your face. However, it can be extremely beneficial because it doesn’t require you to apply products on your face.
2. Pressed Skin Masks
I personally love using mousses or compacts in the morning and taking them out in the evening to dry them up. Because I usually wear a face mask or my mask I can apply a polish so they don’t look too different from our skin. This usually involves the use of another skin product and the formulation of the mask will help avoid getting the mask stuck on your face all day long.
The mask will help to seal any unwanted marks, imperfections and pimples on your skin. You can generally buy something like these and put it on your back, cheek, chin, and groin and leave it on overnight. There are a lot of skin masks that work wonders for pimples but the moment you wake up it will be almost oily as if you’d never used any moisturiser.
3. Dry, light treat from a hot brush
A hot brush in the morning is a handy tool to begin treating your skin. It’s something you don’t have to shell out all of that cash to get a perusal of your pores. You can use it in the morning to dry up your skin. Then, on your way to work or doing other things, use your hot brush to make your skin look shiny and smooth. The key with this is to start the day off on the right foot. You can buy one for under $10.
However, what you’ll find is that most of the other skin products are also under $10. For that price, there’s no way it will take care of its whole moisture needs. To make sure you get a good amount of sunshine you might want to buy some sunscreen. You can buy it at a local supermarket for around $1 a bar. Investing that much in a product like this will make it worth it to have a skin care routine.
4. The hottest mask
On the eve of Christmas, you go to the pharmacy to buy yourselves a spray tan for your skin. To top it all off, you’re rushed to your nearest salon to get your makeup done. After your extra facelift, you drive back home. While walking home on this extremely romantic night you see an advertisement about a spray tan for pimples and you race to the store.
You buy it and get home to discover that it’s a pure spray tan. It doesn’t need to be applied to your face, face is your natural skin so it doesn’t need the fake oil and seed oil that is used on spray tans. It’s a brilliant price for an extremely effective skin treatment.
5. An Organic Rejuvenating Balm
Being full figured on a Saturday night is a different type of treatment for our skin than having it over in our heads on a Sunday. But to see the effect of using this after midnight, with all of the creepy creatures in our darkness, is wonderful. This balm in particular, with all of its glow and glowing skin, can be a fantastic addition to your skin regimen. It not only gives your skin that glowy fresh face that you all wish for, but it also allows your skin to sleep (that’s great for the bacteria on your skin!).
This organic balm will treat your skin in one go. From our experience, the best time to sleep on the skin is in the night and not in the morning. For this reason, just on the night of a party or celebrating your birthday, the best moisturiser for pimples-prone skin would be this gentle facial moisturizer. It shouldn’t add much to your face and it will lift your skin to its natural state.